Changing Lives, One Smile at a Time

Every smile tells a story, and here are a few amazing before-and-after pictures of patients treated by Dr. Cory Price and our Price Orthodontics team.

We serve patients of all ages around Roy, Ogden, Syracuse, and the surrounding communities for orthodontic treatments like braces and clear aligners.

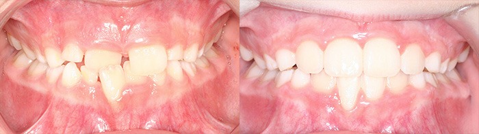
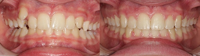
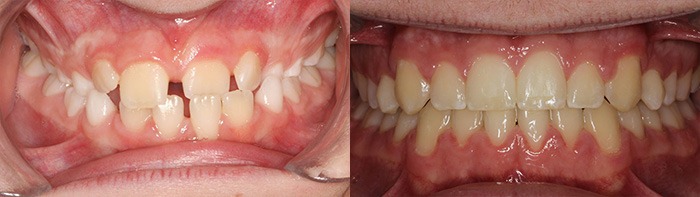
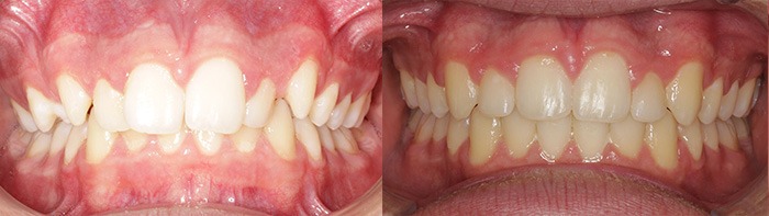
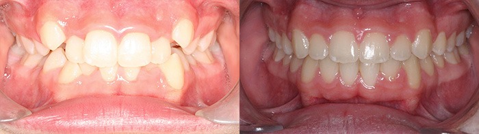
Alignment Cases

orthodontist clinton
orthodontist clinton
orthodontist clinton
orthodontist clinton

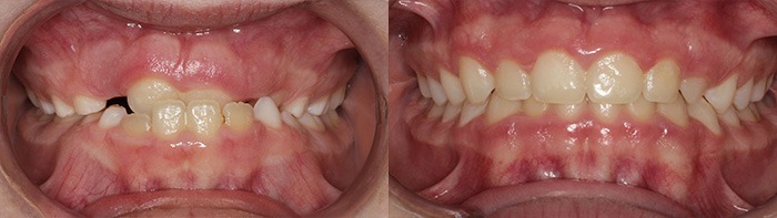
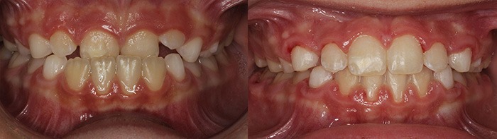
Crossbite Cases

orthodontist clinton
orthodontist clinton
orthodontist clinton

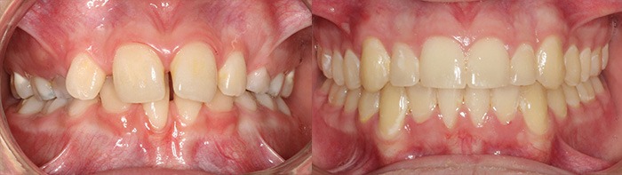
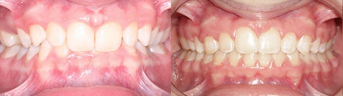
Deep Bite Cases

orthodontist clinton
orthodontist clinton
orthodontist clinton

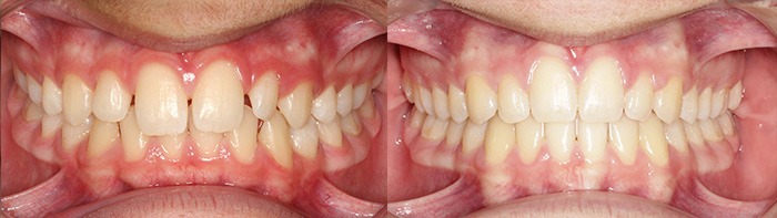
Phase One Cases

orthodontist clinton
orthodontist clinton
orthodontist clinton

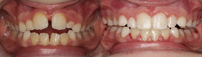
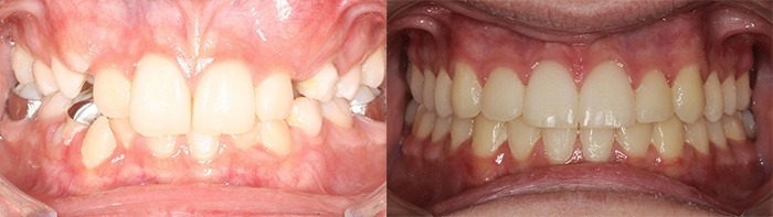
Spacing Cases

orthodontist clinton